JavaScript is disabled in your browser. Please enable JavaScript to view this website.

Anti-ITLN1 + ITLN2 antibody [EPR22491-81](ab252926)

$undefined

Anti-ITLN1 + ITLN2 antibody [EPR22491-81](ab252926)

Anti-ITLN1 + ITLN2 antibody [EPR22491-81](ab252926)

Anti-ITLN1 + ITLN2 antibody [EPR22491-81](ab252926)

Anti-ITLN1 + ITLN2 antibody [EPR22491-81](ab252926)

Anti-ITLN1 + ITLN2 antibody [EPR22491-81](ab252926)

Anti-ITLN1 + ITLN2 antibody [EPR22491-81](ab252926)

Anti-ITLN1 + ITLN2 antibody [EPR22491-81](ab252926)

Anti-ITLN1 + ITLN2 antibody [EPR22491-81](ab252926)

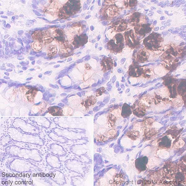
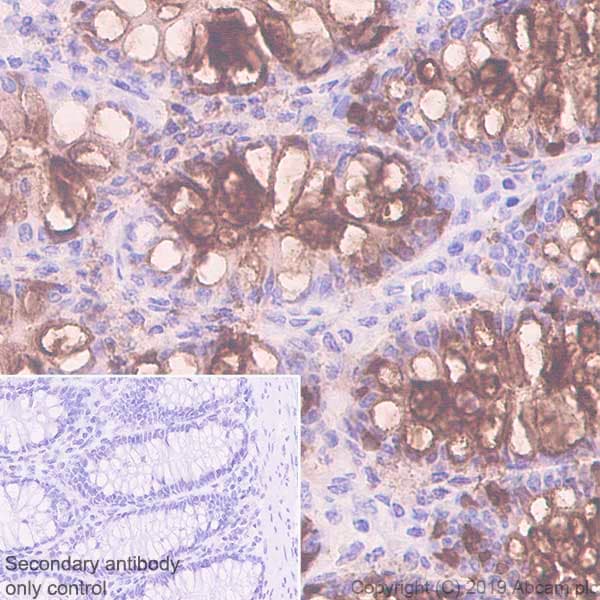
Rabbit Recombinant Monoclonal ITLN1 antibody. Suitable for WB, IHC-Fr, IHC-P and reacts with Recombinant full length protein - Human, Mouse, Rat, Human samples.
Specifications
Shipped At Conditions Blue Ice
Appropriate Long term Storage Conditions Store at -20°C.
Clonality Monoclonal
Applications IHC-Fr, IHC-P, IP, WB
Species Reactivity Human, Mouse, Rat
Isotype IgG