JavaScript is disabled in your browser. Please enable JavaScript to view this website.

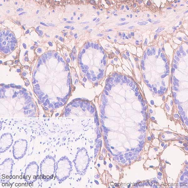
Anti-Lumican antibody [EPR22510-47](ab252924)

$undefined

Anti-Lumican antibody [EPR22510-47](ab252924)

Anti-Lumican antibody [EPR22510-47](ab252924)

Anti-Lumican antibody [EPR22510-47](ab252924)

Anti-Lumican antibody [EPR22510-47](ab252924)

Anti-Lumican antibody [EPR22510-47](ab252924)

Rabbit Recombinant Monoclonal Lumican antibody. Suitable for WB, IHC-P and reacts with Mouse, Rat, Human samples.
Specifications
Shipped At Conditions Blue Ice
Appropriate Long term Storage Conditions Store at -20°C.
Clonality Monoclonal
Applications Flow Cyt, ICC/IF, IHC-P, IP, WB
Species Reactivity Human, Mouse, Rat
Isotype IgG