JavaScript is disabled in your browser. Please enable JavaScript to view this website.

Anti-CD36 antibody [EPR22509-40](ab252922)

$undefined

Anti-CD36 antibody [EPR22509-40](ab252922)

Anti-CD36 antibody [EPR22509-40](ab252922)

Anti-CD36 antibody [EPR22509-40](ab252922)

Anti-CD36 antibody [EPR22509-40](ab252922)

Anti-CD36 antibody [EPR22509-40](ab252922)

Anti-CD36 antibody [EPR22509-40](ab252922)

Anti-CD36 antibody [EPR22509-40](ab252922)

Anti-CD36 antibody [EPR22509-40](ab252922)

Anti-CD36 antibody [EPR22509-40](ab252922)

Anti-CD36 antibody [EPR22509-40](ab252922)

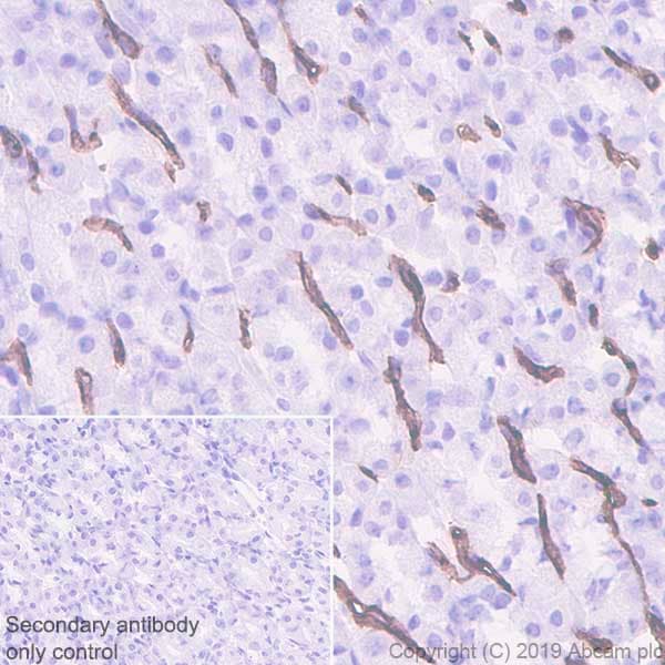
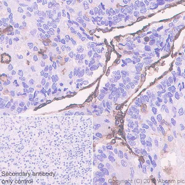
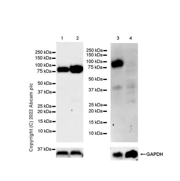
Anti-CD36 antibody [EPR22509-40] ab252922 is a rabbit monoclonal antibody that is used in CD36 western blotting, IHC, immunofluorescence and flow cytometry. Suitable for human, mouse and rat samples.

- Recombinant format for unrivaled batch-batch consistency: no need for same-lot requests
- Specificity and sensitivity confirmed in IHC with multi-tissue microarray (TMA) validation
- One antibody for all your CD36 staining, use in CD36 western blotting, IHC, immunofluorescence and flow cytometry
Specifications
Shipped At Conditions Blue Ice
Appropriate Long term Storage Conditions Store at -20°C.
Clonality Monoclonal
Applications Flow Cyt, ICC/IF, IHC-P, IP, WB
Species Reactivity Human, Mouse, Rat
Isotype IgG