JavaScript is disabled in your browser. Please enable JavaScript to view this website.

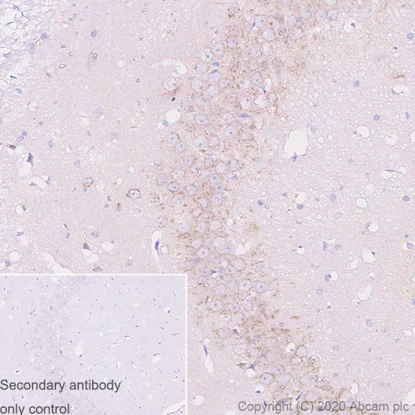
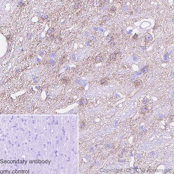
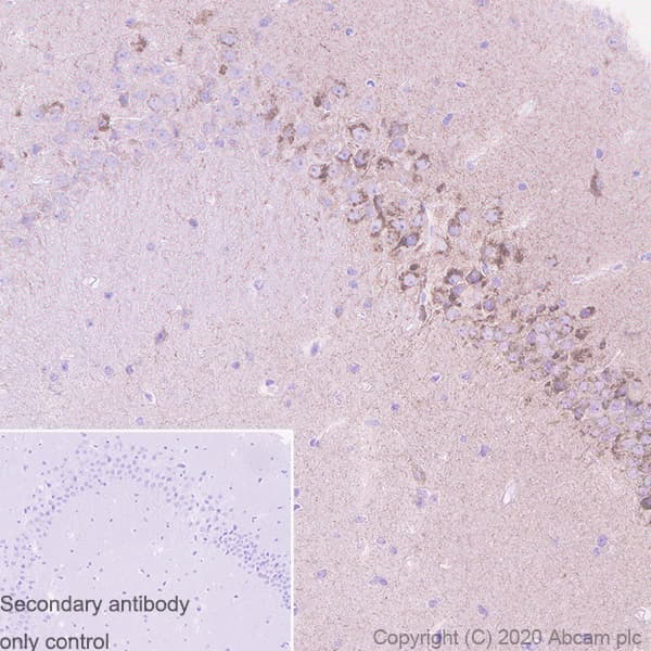
Anti-Sez6 antibody [14E5](ab252863)

$undefined

Anti-Sez6 antibody [14E5](ab252863)

Anti-Sez6 antibody [14E5](ab252863)

Anti-Sez6 antibody [14E5](ab252863)

Anti-Sez6 antibody [14E5](ab252863)

Anti-Sez6 antibody [14E5](ab252863)

Rat Recombinant Monoclonal SEZ6 antibody. Suitable for WB, IHC-P and reacts with Mouse, Rat samples. Cited in 3 publications.
Specifications
Shipped At Conditions Blue Ice
Appropriate Long term Storage Conditions Store at -20°C.
Clonality Monoclonal
Applications IHC-P, WB
Species Reactivity Human, Mouse, Rat
Isotype IgG1