JavaScript is disabled in your browser. Please enable JavaScript to view this website.

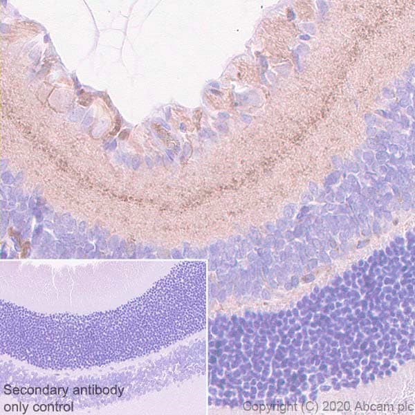
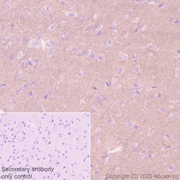
Anti-HCN1 antibody [7C3](ab252835)

$undefined

Anti-HCN1 antibody [7C3](ab252835)

Anti-HCN1 antibody [7C3](ab252835)

Anti-HCN1 antibody [7C3](ab252835)

Anti-HCN1 antibody [7C3](ab252835)

Anti-HCN1 antibody [7C3](ab252835)

Anti-HCN1 antibody [7C3](ab252835)

Anti-HCN1 antibody [7C3](ab252835)

Rat Recombinant Monoclonal HCN1 antibody. Suitable for WB, IHC-P and reacts with Mouse, Rat, Human samples. Cited in 1 publication.
Specifications
Shipped At Conditions Blue Ice
Appropriate Long term Storage Conditions Store at -20°C.
Clonality Monoclonal
Applications ICC/IF, IHC-P, WB
Species Reactivity Human, Mouse, Rat
Isotype IgG1