JavaScript is disabled in your browser. Please enable JavaScript to view this website.

Anti-GBP1 antibody [1B1](ab252832)

$undefined

Anti-GBP1 antibody [1B1](ab252832)

Anti-GBP1 antibody [1B1](ab252832)

Anti-GBP1 antibody [1B1](ab252832)

Anti-GBP1 antibody [1B1](ab252832)

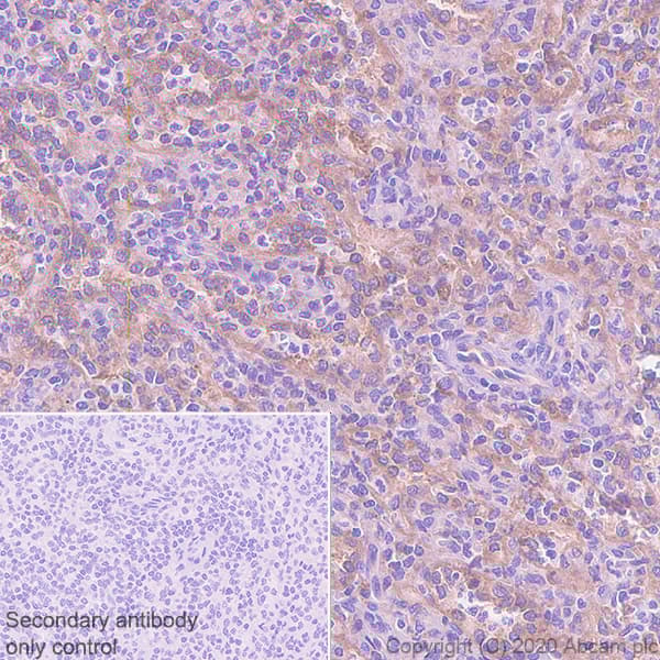
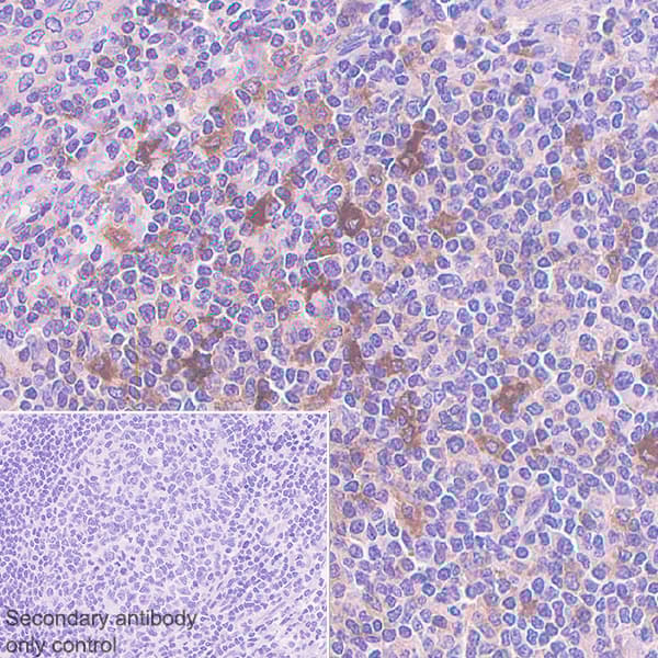
Rat Recombinant Monoclonal GBP1 antibody. Suitable for WB, ICC/IF, IHC-P and reacts with Human samples. Cited in 3 publications.
Specifications
Shipped At Conditions Blue Ice
Appropriate Long term Storage Conditions Store at -20°C.
Clonality Monoclonal
Applications ICC/IF, IHC-P, IP, WB
Species Reactivity Human, Mouse, Rat
Isotype IgG1