JavaScript is disabled in your browser. Please enable JavaScript to view this website.

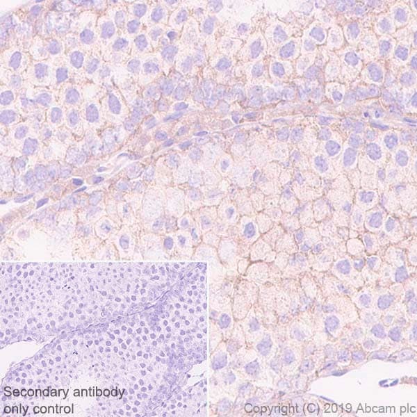
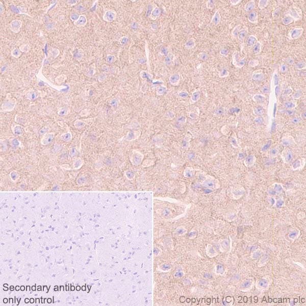
Anti-GBA2 antibody [4A12](ab252831)

$undefined

Anti-GBA2 antibody [4A12](ab252831)

Anti-GBA2 antibody [4A12](ab252831)

Rat Recombinant Monoclonal GBA2 antibody. Suitable for IHC-P and reacts with Mouse samples.
Specifications
Shipped At Conditions Blue Ice
Appropriate Long term Storage Conditions Store at -20°C.
Clonality Monoclonal
Applications ICC/IF, IHC-Fr, IHC-P
Species Reactivity Mouse
Isotype IgG1