JavaScript is disabled in your browser. Please enable JavaScript to view this website.

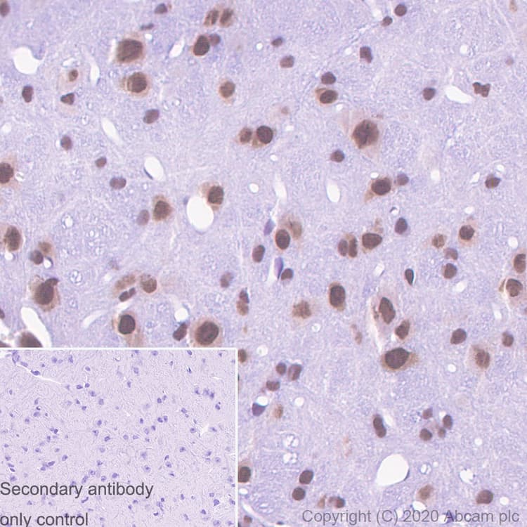
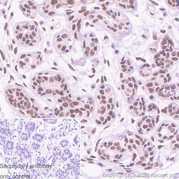
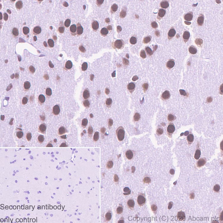
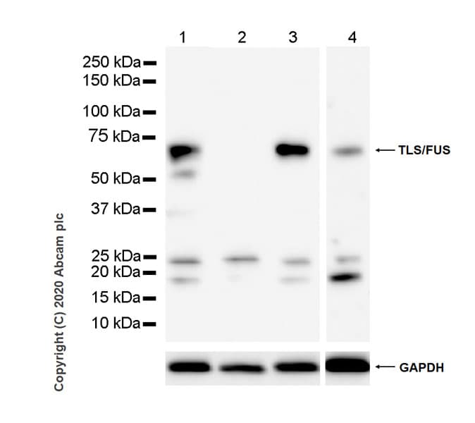
Anti-TLS/FUS (methyl ) antibody [9G6](ab252830)

$undefined

Anti-TLS/FUS (methyl ) antibody [9G6](ab252830)

Anti-TLS/FUS (methyl ) antibody [9G6](ab252830)

Anti-TLS/FUS (methyl ) antibody [9G6](ab252830)

Anti-TLS/FUS (methyl ) antibody [9G6](ab252830)

Anti-TLS/FUS (methyl ) antibody [9G6](ab252830)

Rat Recombinant Monoclonal FUS antibody. Suitable for IHC-P, WB and reacts with Mouse, Rat, Human samples. Cited in 1 publication.
Specifications
Shipped At Conditions Blue Ice
Appropriate Long term Storage Conditions Store at -20°C.
Clonality Monoclonal
Applications IHC-P, WB
Species Reactivity Human, Mouse, Rat
Isotype IgG2b