JavaScript is disabled in your browser. Please enable JavaScript to view this website.

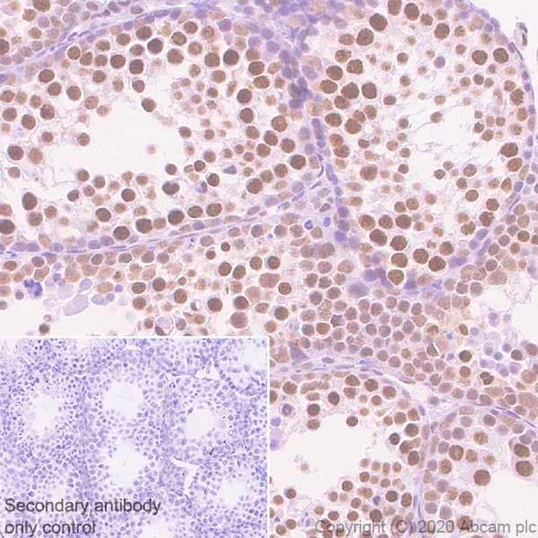
Anti-BRD7 antibody [2D3](ab252820)

$undefined

Anti-BRD7 antibody [2D3](ab252820)

Anti-BRD7 antibody [2D3](ab252820)

Anti-BRD7 antibody [2D3](ab252820)

Anti-BRD7 antibody [2D3](ab252820)

Anti-BRD7 antibody [2D3](ab252820)

Rat Recombinant Monoclonal BRD7 antibody. Suitable for IHC-P, WB and reacts with Mouse, Rat, Human samples.
Specifications
Shipped At Conditions Blue Ice
Appropriate Long term Storage Conditions Store at -20°C.
Clonality Monoclonal
Applications IHC-P, IP, WB
Species Reactivity Human, Mouse, Rat
Isotype IgG2a