JavaScript is disabled in your browser. Please enable JavaScript to view this website.

Anti-Estrogen Receptor alpha antibody [CRET94D] - BSA and Azide free(ab252794)

$undefined

Anti-Estrogen Receptor alpha antibody [CRET94D] - BSA and Azide free(ab252794)

Anti-Estrogen Receptor alpha antibody [CRET94D] - BSA and Azide free(ab252794)

Anti-Estrogen Receptor alpha antibody [CRET94D] - BSA and Azide free(ab252794)

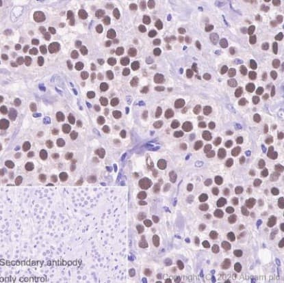
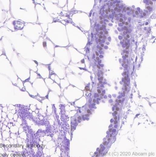
Mouse Recombinant Monoclonal Estrogen Receptor alpha antibody. Carrier free. Suitable for IHC-P, WB and reacts with Mouse, Human samples.
Specifications
Shipped At Conditions Blue Ice
Appropriate Long term Storage Conditions Store at +4°C.
Clonality Monoclonal
Applications IHC-P, WB
Species Reactivity Human, Mouse
Isotype IgG1