JavaScript is disabled in your browser. Please enable JavaScript to view this website.

Anti-CDKN2A/p16INK4a antibody [PabLO33B] - BSA and Azide free(ab252788)

$undefined

Anti-CDKN2A/p16INK4a antibody [PabLO33B] - BSA and Azide free(ab252788)

Anti-CDKN2A/p16INK4a antibody [PabLO33B] - BSA and Azide free(ab252788)

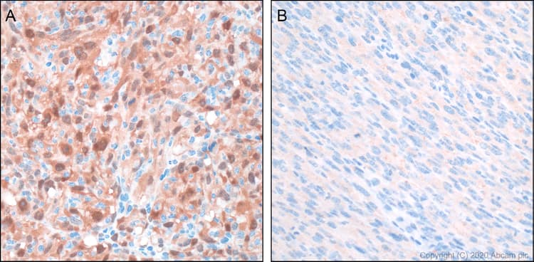
Rat Recombinant Monoclonal p16INK4A antibody. Carrier free. Suitable for IHC-P and reacts with Mouse samples.
Specifications
Shipped At Conditions Blue Ice
Appropriate Long term Storage Conditions Store at +4°C.
Clonality Monoclonal
Applications IHC-P
Species Reactivity Mouse
Isotype IgG2a