JavaScript is disabled in your browser. Please enable JavaScript to view this website.

Anti-SA1 antibody [SUSI63B] - BSA and Azide free(ab252782)

$undefined

Anti-SA1 antibody [SUSI63B] - BSA and Azide free(ab252782)

Anti-SA1 antibody [SUSI63B] - BSA and Azide free(ab252782)

Anti-SA1 antibody [SUSI63B] - BSA and Azide free(ab252782)

Anti-SA1 antibody [SUSI63B] - BSA and Azide free(ab252782)

Anti-SA1 antibody [SUSI63B] - BSA and Azide free(ab252782)

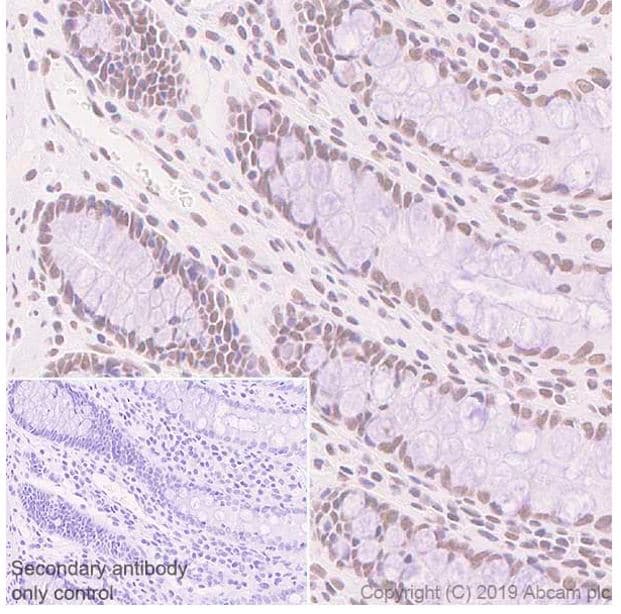
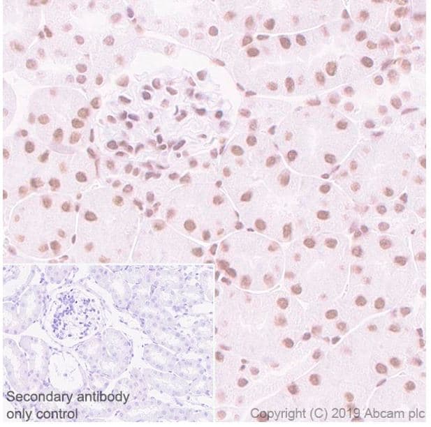
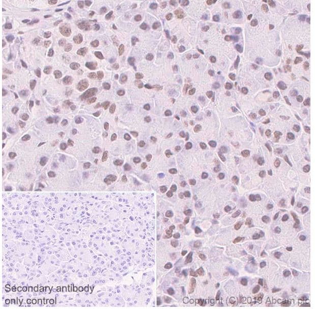
Rat Recombinant Monoclonal SA1 antibody. Carrier free. Suitable for WB, IHC-P and reacts with Rat, Human, Mouse samples.
Specifications
Shipped At Conditions Blue Ice
Appropriate Long term Storage Conditions Store at +4°C.
Clonality Monoclonal
Applications IHC-P, WB
Species Reactivity Human, Mouse, Rat
Isotype IgG2a