JavaScript is disabled in your browser. Please enable JavaScript to view this website.

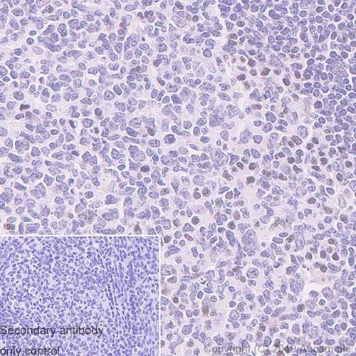
Anti-XBP1 antibody [143F] - BSA and Azide free(ab252780)

$undefined

Anti-XBP1 antibody [143F] - BSA and Azide free(ab252780)

Anti-XBP1 antibody [143F] - BSA and Azide free(ab252780)

Anti-XBP1 antibody [143F] - BSA and Azide free(ab252780)

Anti-XBP1 antibody [143F] - BSA and Azide free(ab252780)

Mouse Recombinant Monoclonal XBP1 antibody. Carrier free. Suitable for WB, ICC/IF, IHC-P and reacts with Human samples.
Specifications
Shipped At Conditions Blue Ice
Appropriate Long term Storage Conditions Store at +4°C.
Clonality Monoclonal
Applications ChIP, Flow Cyt, ICC/IF, IHC-P, IP, WB
Species Reactivity Human
Isotype IgG2a