JavaScript is disabled in your browser. Please enable JavaScript to view this website.

Anti-p53 antibody [EPR20416-117] - BSA and Azide free(AB252387)

$undefined

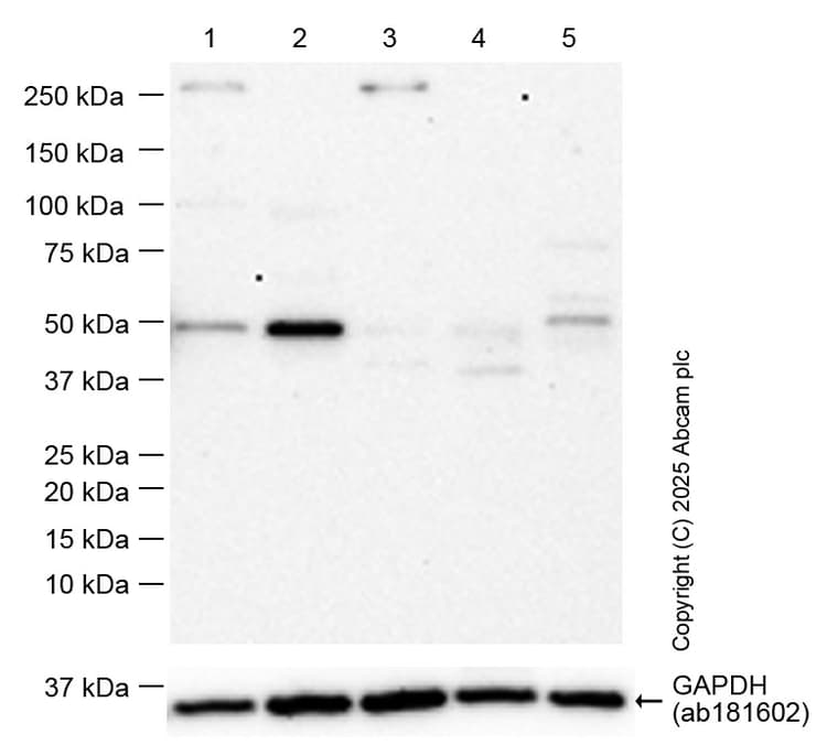
P53 Antibody Epr20416 117 Bsa And Azide Free Ab252387  Western Blot Img448765

P53 Antibody Epr20416 117 Bsa And Azide Free Ab252387  Immunoprecipitation Img3787

Rabbit Recombinant Monoclonal P53 antibody. Carrier free. Suitable for IP, WB and reacts with Mouse samples.
Specifications
Shipped At Conditions Blue Ice
Appropriate Long term Storage Conditions Store at +4°C.
Clonality Monoclonal
Applications Flow Cyt, ICC/IF, IHC-P, IP, WB
Species Reactivity Mouse
Isotype IgG