JavaScript is disabled in your browser. Please enable JavaScript to view this website.

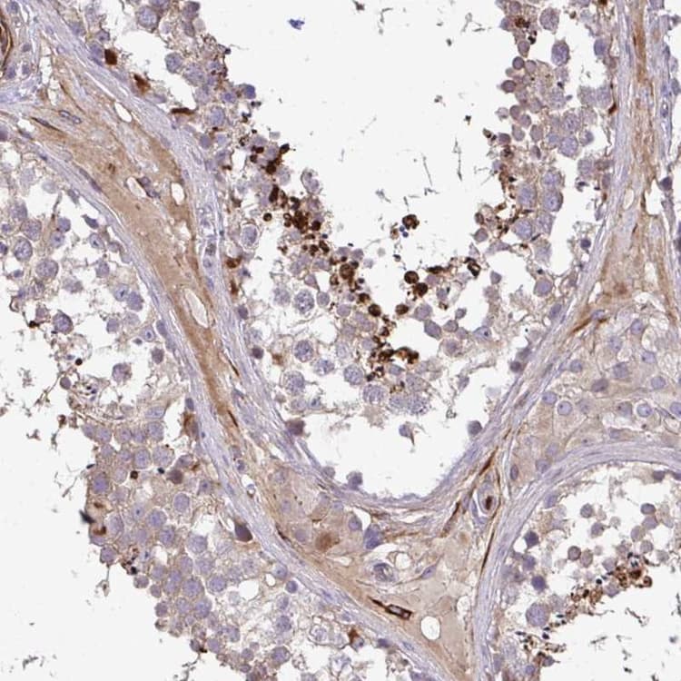
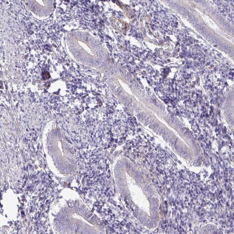
Anti-GRID2 antibody(ab251953)

$undefined

Anti-GRID2 antibody(ab251953)

Anti-GRID2 antibody(ab251953)

Rabbit Polyclonal GRID2 antibody. Suitable for IHC-P and reacts with Human samples. Cited in 1 publication. Immunogen corresponding to Recombinant Fragment Protein within Human Glutamate receptor ionotropic, delta-2 aa 650-800.
Specifications
Shipped At Conditions Blue Ice
Appropriate Long term Storage Conditions Store at -20°C.
Clonality Polyclonal
Applications IHC-P
Species Reactivity Human
Isotype IgG