JavaScript is disabled in your browser. Please enable JavaScript to view this website.

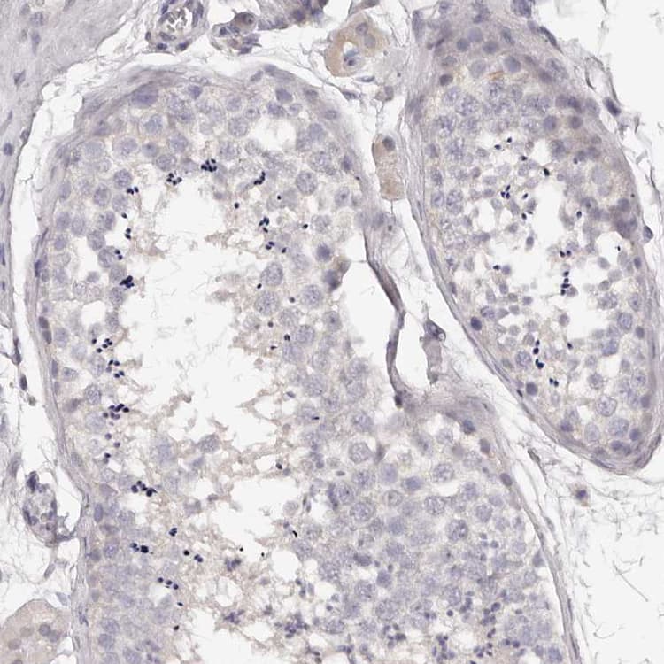
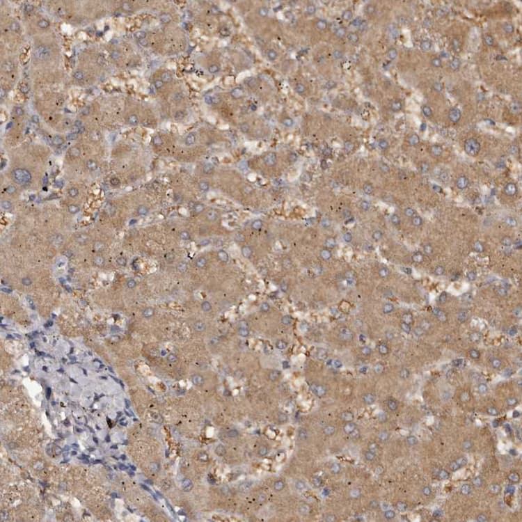
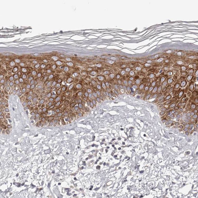
Anti-Kir6.1/KCNJ8 antibody(ab251809)

$undefined

Anti-Kir6.1/KCNJ8 antibody(ab251809)

Anti-Kir6.1/KCNJ8 antibody(ab251809)

Anti-Kir6.1/KCNJ8 antibody(ab251809)

Anti-Kir6.1/KCNJ8 antibody(ab251809)

Rabbit Polyclonal Kir6.1/KCNJ8 antibody. Suitable for IHC-P and reacts with Human samples. Cited in 1 publication. Immunogen corresponding to Recombinant Fragment Protein within Human ATP-sensitive inward rectifier potassium channel 8 aa 250 to C-terminus.
Specifications
Shipped At Conditions Blue Ice
Appropriate Long term Storage Conditions Store at -20°C.
Clonality Polyclonal
Applications IHC-P
Species Reactivity Human
Isotype IgG