JavaScript is disabled in your browser. Please enable JavaScript to view this website.

Anti-MPRIP antibody(ab251741)

$undefined

Anti-MPRIP antibody(ab251741)

Anti-MPRIP antibody(ab251741)

Anti-MPRIP antibody(ab251741)

Anti-MPRIP antibody(ab251741)

Anti-MPRIP antibody(ab251741)

Anti-MPRIP antibody(ab251741)

Anti-MPRIP antibody(ab251741)

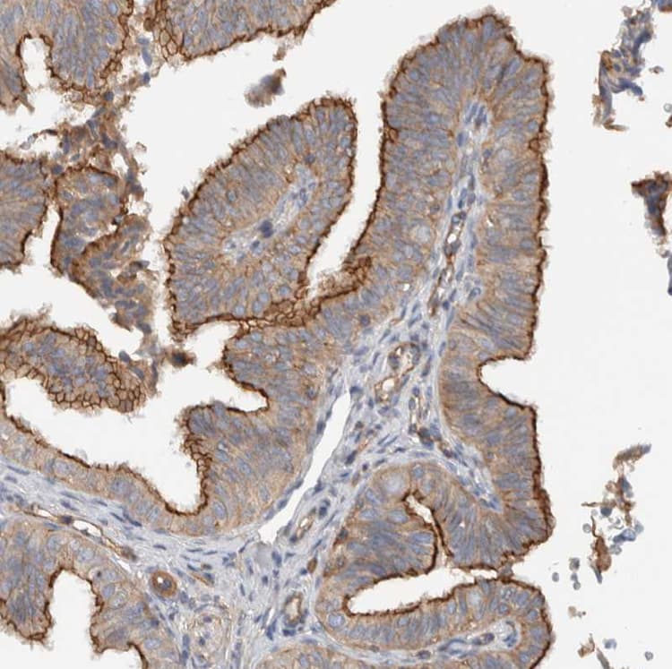
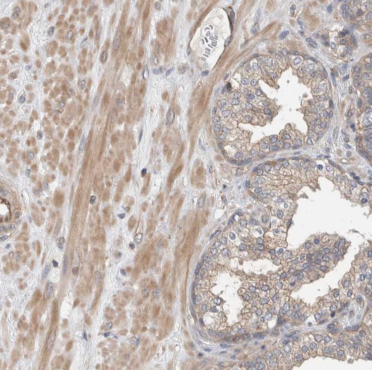
Rabbit Polyclonal MPRIP antibody. Suitable for IHC-P, WB, ICC/IF and reacts with Human, Mouse, Rat samples. Immunogen corresponding to Recombinant Fragment Protein within Human Myosin phosphatase Rho-interacting protein aa 850 to C-terminus.
Specifications
Shipped At Conditions Blue Ice
Appropriate Long term Storage Conditions Store at -20°C.
Clonality Polyclonal
Applications ICC/IF, IHC-P, WB
Species Reactivity Human, Mouse, Rat
Isotype IgG