JavaScript is disabled in your browser. Please enable JavaScript to view this website.

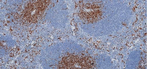
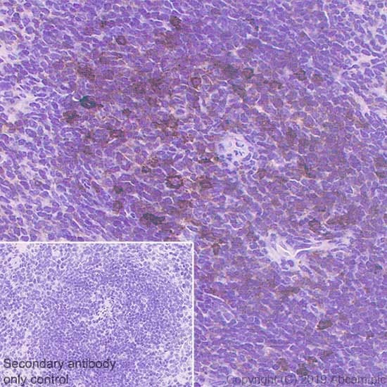
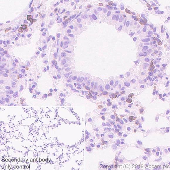
Anti-GITR antibody [CAL61] - BSA and Azide free(ab251610)

$undefined

Anti-GITR antibody [CAL61] - BSA and Azide free(ab251610)

Anti-GITR antibody [CAL61] - BSA and Azide free(ab251610)

Anti-GITR antibody [CAL61] - BSA and Azide free(ab251610)

Anti-GITR antibody [CAL61] - BSA and Azide free(ab251610)

Rabbit Recombinant Monoclonal GITR antibody. Carrier free. Suitable for WB, Flow Cyt (Intra), IHC-P and reacts with Mouse samples.
Specifications
Shipped At Conditions Blue Ice
Appropriate Long term Storage Conditions Store at +4°C.
Clonality Monoclonal
Applications Flow Cyt (Intra), ICC/IF, IHC-P, IP, WB
Species Reactivity Mouse
Isotype IgG