JavaScript is disabled in your browser. Please enable JavaScript to view this website.

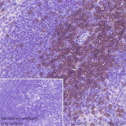
Anti-CD4 antibody [CAL4] - BSA and Azide free(ab251608)

$undefined

Anti-CD4 antibody [CAL4] - BSA and Azide free(ab251608)

Anti-CD4 antibody [CAL4] - BSA and Azide free(ab251608)

Anti-CD4 antibody [CAL4] - BSA and Azide free(ab251608)

Anti-CD4 antibody [CAL4] - BSA and Azide free(ab251608)

Anti-CD4 antibody [CAL4] - BSA and Azide free(ab251608)

Anti-CD4 antibody [CAL4] - BSA and Azide free(ab251608)

Rabbit Recombinant Monoclonal CD4 antibody. Carrier free. Suitable for IP, WB, IHC-Fr, Flow Cyt (Intra), IHC-P and reacts with Mouse, Rat samples.
Specifications
Shipped At Conditions Blue Ice
Appropriate Long term Storage Conditions Store at +4°C.
Clonality Monoclonal
Applications Flow Cyt (Intra), ICC/IF, IHC-Fr, IHC-P, IP, WB
Species Reactivity Mouse, Rat
Isotype IgG