JavaScript is disabled in your browser. Please enable JavaScript to view this website.

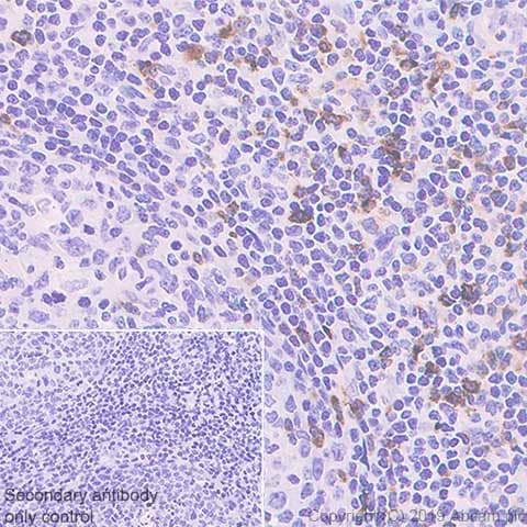
Anti-LAG-3 antibody [CAL77] - BSA and Azide free(ab251606)

$undefined

Anti-LAG-3 antibody [CAL77] - BSA and Azide free(ab251606)

Anti-LAG-3 antibody [CAL77] - BSA and Azide free(ab251606)

Anti-LAG-3 antibody [CAL77] - BSA and Azide free(ab251606)

Anti-LAG-3 antibody [CAL77] - BSA and Azide free(ab251606)

Anti-LAG-3 antibody [CAL77] - BSA and Azide free(ab251606)

Rabbit Recombinant Monoclonal LAG-3 antibody. Carrier free. Suitable for Flow Cyt (Intra), IHC-P and reacts with Mouse, Human samples.
Specifications
Shipped At Conditions Blue Ice
Appropriate Long term Storage Conditions Store at +4°C.
Clonality Monoclonal
Applications Flow Cyt (Intra), ICC/IF, IHC-P, IP, WB
Species Reactivity Human, Mouse
Isotype IgG