JavaScript is disabled in your browser. Please enable JavaScript to view this website.

Anti-GITR antibody [CAL52] - BSA and Azide free(ab251600)

$undefined

Anti-GITR antibody [CAL52] - BSA and Azide free(ab251600)

Anti-GITR antibody [CAL52] - BSA and Azide free(ab251600)

Anti-GITR antibody [CAL52] - BSA and Azide free(ab251600)

Anti-GITR antibody [CAL52] - BSA and Azide free(ab251600)

Anti-GITR antibody [CAL52] - BSA and Azide free(ab251600)

Anti-GITR antibody [CAL52] - BSA and Azide free(ab251600)

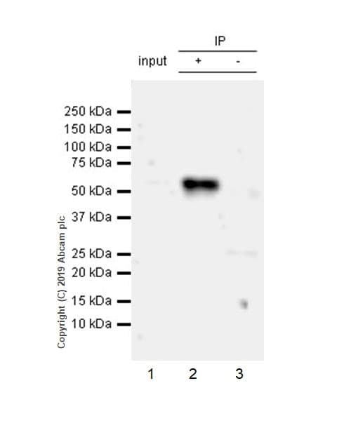
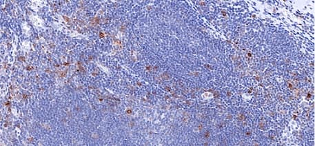
Rabbit Recombinant Monoclonal GITR antibody. Carrier free. Suitable for IP, IHC-P, ICC/IF, Flow Cyt (Intra) and reacts with Human samples.
Specifications
Shipped At Conditions Blue Ice
Appropriate Long term Storage Conditions Store at +4°C.
Clonality Monoclonal
Applications Flow Cyt (Intra), ICC/IF, IHC-P, IP, WB
Species Reactivity Human
Isotype IgG