JavaScript is disabled in your browser. Please enable JavaScript to view this website.

Anti-CCL25 antibody [EPR12388(2)] - BSA and Azide free(AB251307)

$undefined

Ccl25 Antibody Epr123882 Bsa And Azide Free Ab251307  Western Blot Img19006

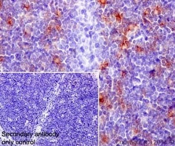
Ccl25 Antibody Epr123882 Bsa And Azide Free Ab251307  Immunohistochemistry Formalin Pfa Fixed Paraffin Embedded Sections Img113987

Ccl25 Antibody Epr123882 Bsa And Azide Free Ab251307  Immunohistochemistry Formalin Pfa Fixed Paraffin Embedded Sections Img31425

Ccl25 Antibody Epr123882 Bsa And Azide Free Ab251307  Immunohistochemistry Formalin Pfa Fixed Paraffin Embedded Sections Img119518

Rabbit Recombinant Monoclonal CCL25 antibody. Carrier free. Suitable for WB, IHC-P and reacts with Human samples.
Specifications
Shipped At Conditions Blue Ice
Appropriate Long term Storage Conditions Store at +4°C.
Clonality Monoclonal
Applications IHC-P, WB
Species Reactivity Human
Isotype IgG