JavaScript is disabled in your browser. Please enable JavaScript to view this website.

Anti-UHRF1 antibody [EPR18803] - BSA and Azide free(ab251181)

$undefined

Anti-UHRF1 antibody [EPR18803] - BSA and Azide free(ab251181)

Anti-UHRF1 antibody [EPR18803] - BSA and Azide free(ab251181)

Anti-UHRF1 antibody [EPR18803] - BSA and Azide free(ab251181)

Anti-UHRF1 antibody [EPR18803] - BSA and Azide free(ab251181)

Anti-UHRF1 antibody [EPR18803] - BSA and Azide free(ab251181)

Anti-UHRF1 antibody [EPR18803] - BSA and Azide free(ab251181)

Anti-UHRF1 antibody [EPR18803] - BSA and Azide free(ab251181)

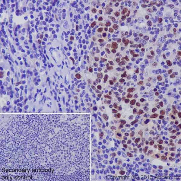
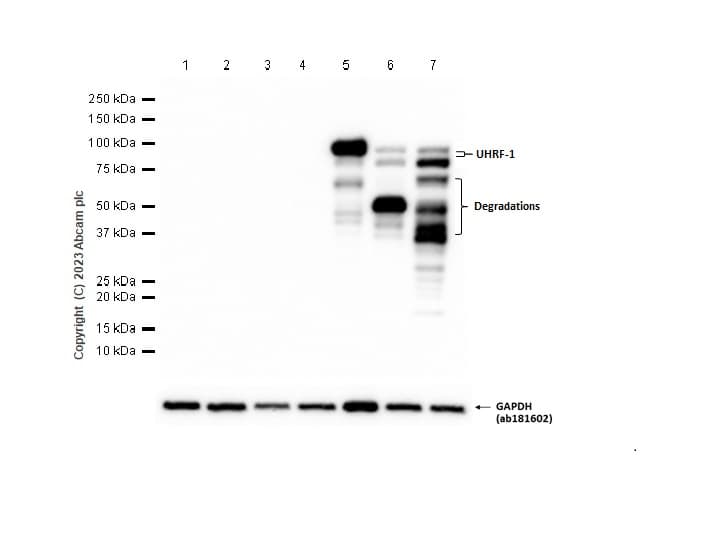
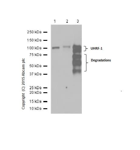
Rabbit Recombinant Monoclonal UHRF1 antibody. Carrier free. Suitable for IP, WB, IHC-P and reacts with Human, Rat samples.
Specifications
Shipped At Conditions Blue Ice
Appropriate Long term Storage Conditions Store at +4°C.
Clonality Monoclonal
Applications IHC-P, IP, WB
Species Reactivity Human, Rat
Isotype IgG