JavaScript is disabled in your browser. Please enable JavaScript to view this website.

Anti-KIF5C antibody [EPR16224-32] - BSA and Azide free(ab251167)

$undefined

Anti-KIF5C antibody [EPR16224-32] - BSA and Azide free(ab251167)

Anti-KIF5C antibody [EPR16224-32] - BSA and Azide free(ab251167)

Anti-KIF5C antibody [EPR16224-32] - BSA and Azide free(ab251167)

Anti-KIF5C antibody [EPR16224-32] - BSA and Azide free(ab251167)

Anti-KIF5C antibody [EPR16224-32] - BSA and Azide free(ab251167)

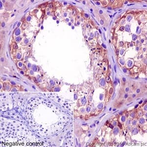
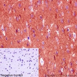
Rabbit Recombinant Monoclonal KIF5C antibody. Carrier free. Suitable for ICC/IF, WB, IHC-P and reacts with Human, Mouse, Rat samples.
Specifications
Shipped At Conditions Blue Ice
Appropriate Long term Storage Conditions Store at +4°C.
Clonality Monoclonal
Applications ICC/IF, IHC-P, WB
Species Reactivity Human, Mouse, Rat
Isotype IgG