JavaScript is disabled in your browser. Please enable JavaScript to view this website.

Anti-UCHL5IP antibody [EPR15341-56] - BSA and Azide free(ab251147)

$undefined

Anti-UCHL5IP antibody [EPR15341-56] - BSA and Azide free(ab251147)

Anti-UCHL5IP antibody [EPR15341-56] - BSA and Azide free(ab251147)

Anti-UCHL5IP antibody [EPR15341-56] - BSA and Azide free(ab251147)

Anti-UCHL5IP antibody [EPR15341-56] - BSA and Azide free(ab251147)

Anti-UCHL5IP antibody [EPR15341-56] - BSA and Azide free(ab251147)

Anti-UCHL5IP antibody [EPR15341-56] - BSA and Azide free(ab251147)

Anti-UCHL5IP antibody [EPR15341-56] - BSA and Azide free(ab251147)

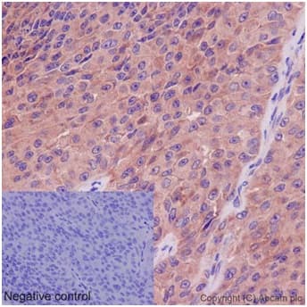
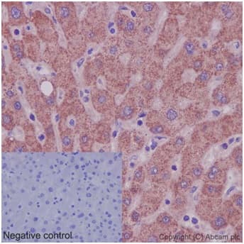
Rabbit Recombinant Monoclonal UCHL5IP antibody. Carrier free. Suitable for IP, WB, Flow Cyt (Intra), IHC-P and reacts with Human, Mouse samples.
Specifications
Shipped At Conditions Blue Ice
Appropriate Long term Storage Conditions Store at +4°C.
Clonality Monoclonal
Applications Flow Cyt (Intra), IHC-P, IP, WB
Species Reactivity Human, Mouse
Isotype IgG