JavaScript is disabled in your browser. Please enable JavaScript to view this website.

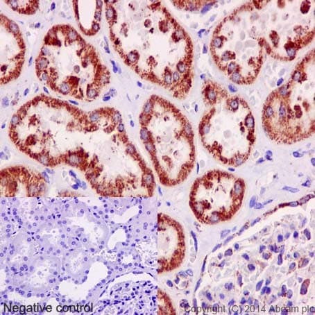
Anti-NDUFC2 antibody [EPR16499] - BSA and Azide free(ab251132)

$undefined

Anti-NDUFC2 antibody [EPR16499] - BSA and Azide free(ab251132)

Anti-NDUFC2 antibody [EPR16499] - BSA and Azide free(ab251132)

Anti-NDUFC2 antibody [EPR16499] - BSA and Azide free(ab251132)

Rabbit Recombinant Monoclonal NDUFC2 antibody. Carrier free. Suitable for WB, Flow Cyt (Intra), IHC-P and reacts with Human samples.
Specifications
Shipped At Conditions Blue Ice
Appropriate Long term Storage Conditions Store at +4°C.
Clonality Monoclonal
Applications Flow Cyt (Intra), IHC-P, WB
Species Reactivity Human
Isotype IgG