JavaScript is disabled in your browser. Please enable JavaScript to view this website.

Anti-TSSK2 antibody [EPR16116] - BSA and Azide free(ab251108)

$undefined

Anti-TSSK2 antibody [EPR16116] - BSA and Azide free(ab251108)

Anti-TSSK2 antibody [EPR16116] - BSA and Azide free(ab251108)

Anti-TSSK2 antibody [EPR16116] - BSA and Azide free(ab251108)

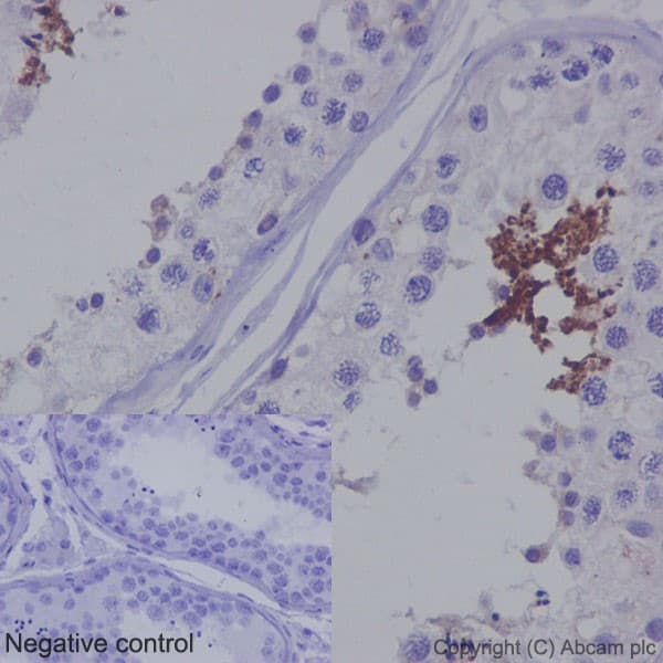
Rabbit Recombinant Monoclonal TSSK2 antibody. Carrier free. Suitable for WB, IHC-P and reacts with Human, Mouse, Rat samples.
Specifications
Shipped At Conditions Blue Ice
Appropriate Long term Storage Conditions Store at +4°C.
Clonality Monoclonal
Applications IHC-P, WB
Species Reactivity Human, Mouse, Rat
Isotype IgG