JavaScript is disabled in your browser. Please enable JavaScript to view this website.

Anti-Calsequestrin 1 antibody [EPR15227(B)] - BSA and Azide free(ab251086)

$undefined

Anti-Calsequestrin 1 antibody [EPR15227(B)] - BSA and Azide free(ab251086)

Anti-Calsequestrin 1 antibody [EPR15227(B)] - BSA and Azide free(ab251086)

Anti-Calsequestrin 1 antibody [EPR15227(B)] - BSA and Azide free(ab251086)

Anti-Calsequestrin 1 antibody [EPR15227(B)] - BSA and Azide free(ab251086)

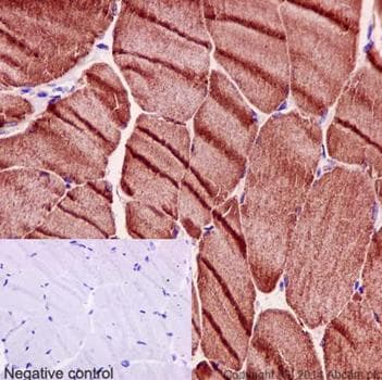
Rabbit Recombinant Monoclonal Calsequestrin 1 antibody. Carrier free. Suitable for WB, IHC-P and reacts with Mouse, Rat, Human samples.
Specifications
Shipped At Conditions Blue Ice
Appropriate Long term Storage Conditions Store at +4°C.
Clonality Monoclonal
Applications IHC-P, WB
Species Reactivity Human, Mouse, Rat
Isotype IgG