JavaScript is disabled in your browser. Please enable JavaScript to view this website.

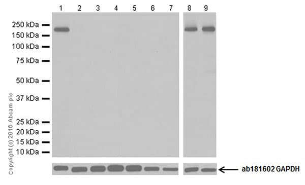
Anti-NMDAR2B antibody [EPR19295] - BSA and Azide free(AB250711)

$undefined

Nmdar2b Antibody Epr19295 Bsa And Azide Free Ab250711  Western Blot Img46535

Nmdar2b Antibody Epr19295 Bsa And Azide Free Ab250711  Western Blot Img10803

Rabbit Recombinant Monoclonal NMDAR2B antibody. Carrier free. Suitable for WB and reacts with Rat, Human, Mouse samples.
Specifications
Shipped At Conditions Blue Ice
Appropriate Long term Storage Conditions Store at +4°C.
Clonality Monoclonal
Applications WB
Species Reactivity Human, Mouse, Rat
Isotype IgG