JavaScript is disabled in your browser. Please enable JavaScript to view this website.

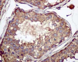
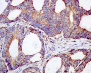
Anti-RPS19 antibody [EPR10423] - BSA and Azide free(ab250491)

$undefined

Anti-RPS19 antibody [EPR10423] - BSA and Azide free(ab250491)

Anti-RPS19 antibody [EPR10423] - BSA and Azide free(ab250491)

Anti-RPS19 antibody [EPR10423] - BSA and Azide free(ab250491)

Anti-RPS19 antibody [EPR10423] - BSA and Azide free(ab250491)

Rabbit Recombinant Monoclonal RPS19 antibody. Carrier free. Suitable for IP, WB, IHC-P and reacts with Human samples.
Specifications
Shipped At Conditions Blue Ice
Appropriate Long term Storage Conditions Store at +4°C.
Clonality Monoclonal
Applications Flow Cyt, ICC/IF, IHC-P, IP, WB
Species Reactivity Human
Isotype IgG