JavaScript is disabled in your browser. Please enable JavaScript to view this website.

Anti-ALDH4A1/P5CDH antibody [EPR14288(B)] - BSA and Azide free(ab250469)

$undefined

Anti-ALDH4A1/P5CDH antibody [EPR14288(B)] - BSA and Azide free(ab250469)

Anti-ALDH4A1/P5CDH antibody [EPR14288(B)] - BSA and Azide free(ab250469)

Anti-ALDH4A1/P5CDH antibody [EPR14288(B)] - BSA and Azide free(ab250469)

Anti-ALDH4A1/P5CDH antibody [EPR14288(B)] - BSA and Azide free(ab250469)

Anti-ALDH4A1/P5CDH antibody [EPR14288(B)] - BSA and Azide free(ab250469)

Anti-ALDH4A1/P5CDH antibody [EPR14288(B)] - BSA and Azide free(ab250469)

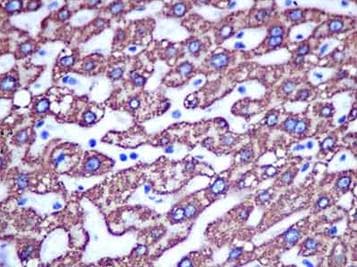
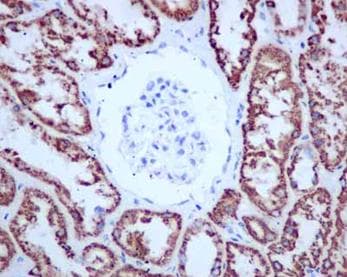
Rabbit Recombinant Monoclonal ALDH4A1/P5CDH antibody. Carrier free. Suitable for IHC-P, ICC/IF, IP, WB and reacts with Human samples.
Specifications
Shipped At Conditions Blue Ice
Appropriate Long term Storage Conditions Store at +4°C.
Clonality Monoclonal
Applications ICC/IF, IHC-P, IP, WB
Species Reactivity Human
Isotype IgG