JavaScript is disabled in your browser. Please enable JavaScript to view this website.

Anti-NDUFS5 antibody [EPR12291] - BSA and Azide free(AB250112)

$undefined

Anti-NDUFS5 antibody [EPR12291] - BSA and Azide free(AB250112)

Anti-NDUFS5 antibody [EPR12291] - BSA and Azide free(AB250112)

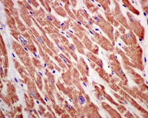
Rabbit Recombinant Monoclonal NDUFS5 antibody. Carrier free. Suitable for IHC-P, WB and reacts with Human samples.
Specifications
Shipped At Conditions Blue Ice
Appropriate Long term Storage Conditions Store at +4°C.
Clonality Monoclonal
Applications Flow Cyt, ICC/IF, IHC-P, IP, WB
Species Reactivity Human
Isotype IgG