JavaScript is disabled in your browser. Please enable JavaScript to view this website.

Anti-ADH5 antibody [EPR12885(B)] - BSA and Azide free(ab250008)

$undefined

Anti-ADH5 antibody [EPR12885(B)] - BSA and Azide free(ab250008)

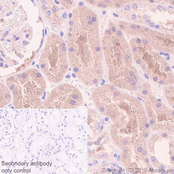
Rabbit Recombinant Monoclonal ADH5 antibody. Carrier free. Suitable for IHC-P, WB and reacts with Human, Mouse, Rat samples.
Specifications
Shipped At Conditions Blue Ice
Appropriate Long term Storage Conditions Store at +4°C.
Clonality Monoclonal
Applications Flow Cyt, ICC/IF, IHC-P, IP, WB
Species Reactivity Human, Mouse, Rat
Isotype IgG