JavaScript is disabled in your browser. Please enable JavaScript to view this website.

Anti-Histone H4 (crotonyl K5) antibody [EPR17903] - BSA and Azide free(ab250002)

$undefined

Anti-Histone H4 (crotonyl K5) antibody [EPR17903] - BSA and Azide free(ab250002)

Anti-Histone H4 (crotonyl K5) antibody [EPR17903] - BSA and Azide free(ab250002)

Anti-Histone H4 (crotonyl K5) antibody [EPR17903] - BSA and Azide free(ab250002)

Anti-Histone H4 (crotonyl K5) antibody [EPR17903] - BSA and Azide free(ab250002)

Anti-Histone H4 (crotonyl K5) antibody [EPR17903] - BSA and Azide free(ab250002)

Anti-Histone H4 (crotonyl K5) antibody [EPR17903] - BSA and Azide free(ab250002)

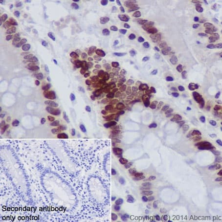
Rabbit Recombinant Monoclonal Histone H4 crotonyl K5 antibody. Carrier free. Suitable for Dot, WB, ICC/IF, IHC-P and reacts with Rat, Mouse, Human samples.
Specifications
Shipped At Conditions Blue Ice
Appropriate Long term Storage Conditions Store at +4°C.
Clonality Monoclonal
Applications Dot, ICC/IF, IHC-P, WB
Species Reactivity Human, Mouse, Rat
Isotype IgG