JavaScript is disabled in your browser. Please enable JavaScript to view this website.

Anti-Histone H2B (formyl K120) antibody [EPR17701] - BSA and Azide free(ab249997)

$undefined

Anti-Histone H2B (formyl K120) antibody [EPR17701] - BSA and Azide free(ab249997)

Anti-Histone H2B (formyl K120) antibody [EPR17701] - BSA and Azide free(ab249997)

Anti-Histone H2B (formyl K120) antibody [EPR17701] - BSA and Azide free(ab249997)

Anti-Histone H2B (formyl K120) antibody [EPR17701] - BSA and Azide free(ab249997)

Anti-Histone H2B (formyl K120) antibody [EPR17701] - BSA and Azide free(ab249997)

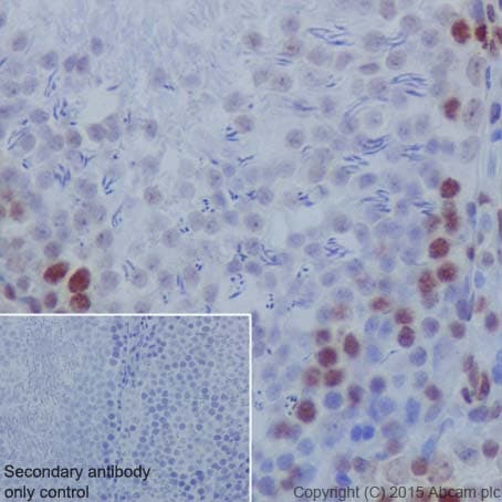
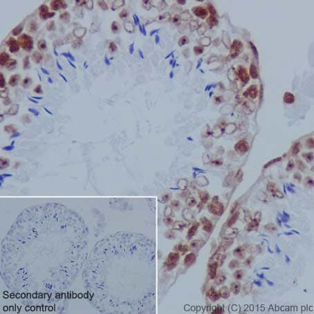
Rabbit Recombinant Monoclonal H2B formyl K120 antibody. Carrier free. Suitable for WB, PepArr, IHC-P and reacts with Human, Mouse, Rat samples.
Specifications
Shipped At Conditions Blue Ice
Appropriate Long term Storage Conditions Store at +4°C.
Clonality Monoclonal
Applications IHC-P, PepArr, WB
Species Reactivity Human, Mouse, Rat
Isotype IgG