JavaScript is disabled in your browser. Please enable JavaScript to view this website.

Anti-Histone H2B (formyl K108) antibody [EPR17697] - BSA and Azide free(ab249994)

$undefined

Anti-Histone H2B (formyl K108) antibody [EPR17697] - BSA and Azide free(ab249994)

Anti-Histone H2B (formyl K108) antibody [EPR17697] - BSA and Azide free(ab249994)

Anti-Histone H2B (formyl K108) antibody [EPR17697] - BSA and Azide free(ab249994)

Anti-Histone H2B (formyl K108) antibody [EPR17697] - BSA and Azide free(ab249994)

Anti-Histone H2B (formyl K108) antibody [EPR17697] - BSA and Azide free(ab249994)

Anti-Histone H2B (formyl K108) antibody [EPR17697] - BSA and Azide free(ab249994)

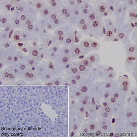
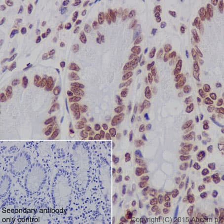
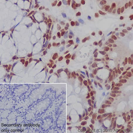
Rabbit Recombinant Monoclonal H2B formyl K108 antibody. Carrier free. Suitable for WB, PepArr, IHC-P and reacts with Mouse, Human, Rat samples.
Specifications
Shipped At Conditions Blue Ice
Appropriate Long term Storage Conditions Store at +4°C.
Clonality Monoclonal
Applications IHC-P, PepArr, WB
Species Reactivity Human, Mouse, Rat
Isotype IgG