JavaScript is disabled in your browser. Please enable JavaScript to view this website.

Anti-Histone H2A (hydroxyl Y39) antibody [EPR17683] - BSA and Azide free(ab249961)

$undefined

Anti-Histone H2A (hydroxyl Y39) antibody [EPR17683] - BSA and Azide free(ab249961)

Anti-Histone H2A (hydroxyl Y39) antibody [EPR17683] - BSA and Azide free(ab249961)

Anti-Histone H2A (hydroxyl Y39) antibody [EPR17683] - BSA and Azide free(ab249961)

Anti-Histone H2A (hydroxyl Y39) antibody [EPR17683] - BSA and Azide free(ab249961)

Anti-Histone H2A (hydroxyl Y39) antibody [EPR17683] - BSA and Azide free(ab249961)

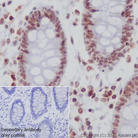
Rabbit Recombinant Monoclonal H2A hydroxy Y39 antibody. Carrier free. Suitable for WB, PepArr, IHC-P and reacts with Human, Mouse, Rat, Synthetic peptide samples.
Specifications
Shipped At Conditions Blue Ice
Appropriate Long term Storage Conditions Store at +4°C.
Clonality Monoclonal
Applications IHC-P, PepArr, WB
Species Reactivity Human, Mouse, Rat
Isotype IgG