JavaScript is disabled in your browser. Please enable JavaScript to view this website.

Anti-Histone H3 (formyl K122) antibody [EPR17896] - BSA and Azide free(ab249958)

$undefined

Anti-Histone H3 (formyl K122) antibody [EPR17896] - BSA and Azide free(ab249958)

Anti-Histone H3 (formyl K122) antibody [EPR17896] - BSA and Azide free(ab249958)

Anti-Histone H3 (formyl K122) antibody [EPR17896] - BSA and Azide free(ab249958)

Anti-Histone H3 (formyl K122) antibody [EPR17896] - BSA and Azide free(ab249958)

Anti-Histone H3 (formyl K122) antibody [EPR17896] - BSA and Azide free(ab249958)

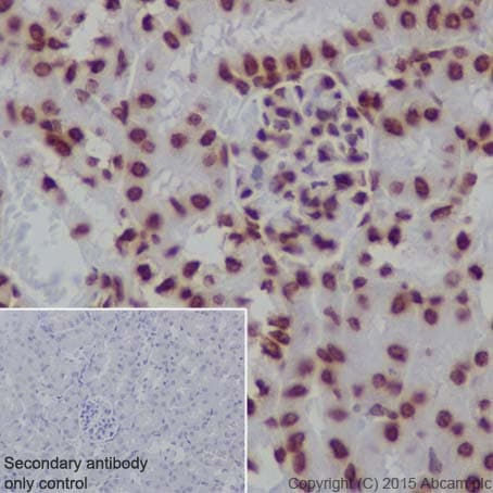
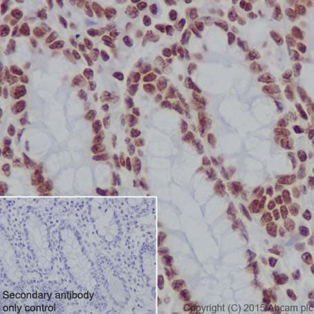
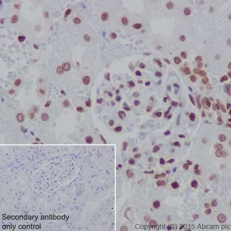
Rabbit Recombinant Monoclonal H3 formyl K122 antibody. Carrier free. Suitable for WB, PepArr, IHC-P and reacts with Mouse, Human, Rat, Synthetic peptide samples.
Specifications
Shipped At Conditions Blue Ice
Appropriate Long term Storage Conditions Store at +4°C.
Clonality Monoclonal
Applications IHC-P, PepArr, WB
Species Reactivity Human, Mouse, Rat
Isotype IgG