JavaScript is disabled in your browser. Please enable JavaScript to view this website.

Anti-p53R2 antibody [EPR8816] - BSA and Azide free(ab249090)

$undefined

Anti-p53R2 antibody [EPR8816] - BSA and Azide free(ab249090)

Anti-p53R2 antibody [EPR8816] - BSA and Azide free(ab249090)

Anti-p53R2 antibody [EPR8816] - BSA and Azide free(ab249090)

Anti-p53R2 antibody [EPR8816] - BSA and Azide free(ab249090)

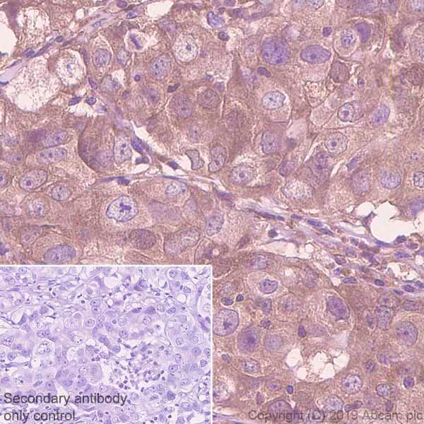
Rabbit Recombinant Monoclonal p53R2 antibody. Carrier free. Suitable for IHC-P, IP, WB and reacts with Human samples.
Specifications
Shipped At Conditions Blue Ice
Appropriate Long term Storage Conditions Store at +4°C.
Clonality Monoclonal
Applications Flow Cyt (Intra), ICC/IF, IHC-P, IP, WB
Species Reactivity Human
Isotype IgG