JavaScript is disabled in your browser. Please enable JavaScript to view this website.

Anti-GSTK1 antibody [EPR1939] - BSA and Azide free(ab248711)

$undefined

Anti-GSTK1 antibody [EPR1939] - BSA and Azide free(ab248711)

Anti-GSTK1 antibody [EPR1939] - BSA and Azide free(ab248711)

Anti-GSTK1 antibody [EPR1939] - BSA and Azide free(ab248711)

Anti-GSTK1 antibody [EPR1939] - BSA and Azide free(ab248711)

Anti-GSTK1 antibody [EPR1939] - BSA and Azide free(ab248711)

Anti-GSTK1 antibody [EPR1939] - BSA and Azide free(ab248711)

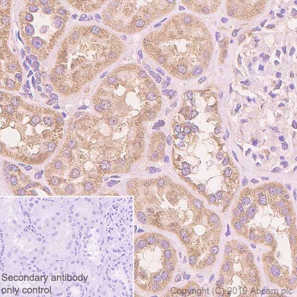
Rabbit Recombinant Monoclonal GSTK1 antibody. Carrier free. Suitable for IHC-P, IP, WB, ICC/IF, Flow Cyt (Intra) and reacts with Human samples.
Specifications
Shipped At Conditions Blue Ice
Appropriate Long term Storage Conditions Store at +4°C.
Clonality Monoclonal
Applications Flow Cyt (Intra), ICC/IF, IHC-P, IP, WB
Species Reactivity Human
Isotype IgG