JavaScript is disabled in your browser. Please enable JavaScript to view this website.

Anti-Cathepsin S antibody [EPR5128] - BSA and Azide free(ab248706)

$undefined

Anti-Cathepsin S antibody [EPR5128] - BSA and Azide free(ab248706)

Anti-Cathepsin S antibody [EPR5128] - BSA and Azide free(ab248706)

Anti-Cathepsin S antibody [EPR5128] - BSA and Azide free(ab248706)

Anti-Cathepsin S antibody [EPR5128] - BSA and Azide free(ab248706)

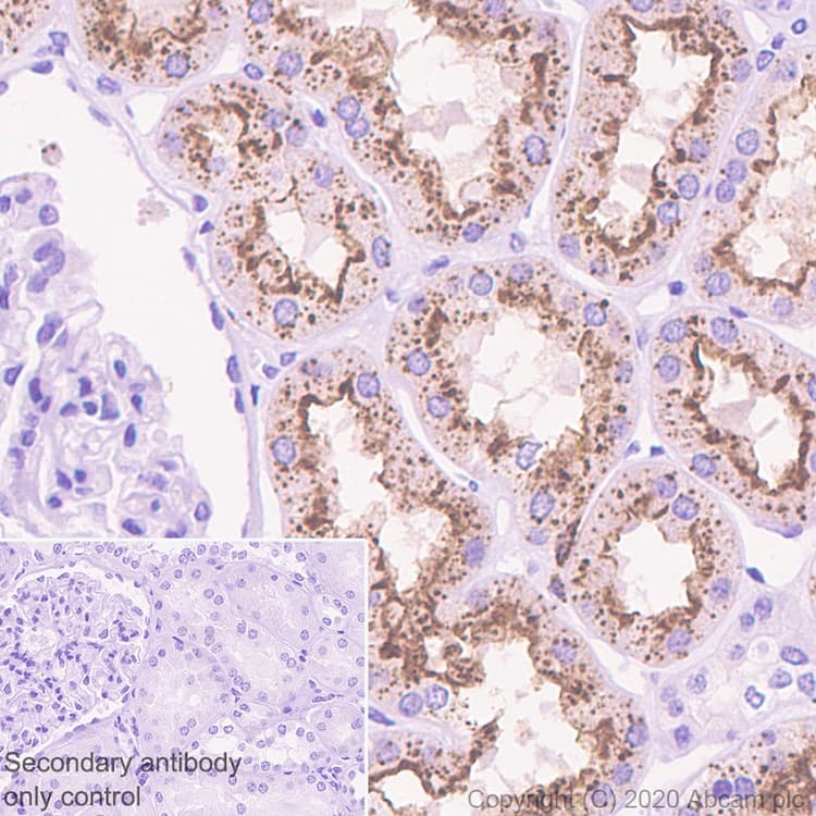
Rabbit Recombinant Monoclonal Cathepsin S antibody. Carrier free. Suitable for IHC-P, WB and reacts with Human samples.
Specifications
Shipped At Conditions Blue Ice
Appropriate Long term Storage Conditions Store at +4°C.
Clonality Monoclonal
Applications Flow Cyt, ICC/IF, IHC-P, WB
Species Reactivity Human
Isotype IgG