JavaScript is disabled in your browser. Please enable JavaScript to view this website.

Anti-Semaphorin 4D/CD100 antibody [EP3569] - BSA and Azide free(ab248692)

$undefined

Anti-Semaphorin 4D/CD100 antibody [EP3569] - BSA and Azide free(ab248692)

Anti-Semaphorin 4D/CD100 antibody [EP3569] - BSA and Azide free(ab248692)

Anti-Semaphorin 4D/CD100 antibody [EP3569] - BSA and Azide free(ab248692)

Anti-Semaphorin 4D/CD100 antibody [EP3569] - BSA and Azide free(ab248692)

Anti-Semaphorin 4D/CD100 antibody [EP3569] - BSA and Azide free(ab248692)

Anti-Semaphorin 4D/CD100 antibody [EP3569] - BSA and Azide free(ab248692)

Anti-Semaphorin 4D/CD100 antibody [EP3569] - BSA and Azide free(ab248692)

Anti-Semaphorin 4D/CD100 antibody [EP3569] - BSA and Azide free(ab248692)

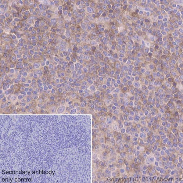
Knockout Tested Rabbit Recombinant Monoclonal Semaphorin 4D/CD100 antibody. Carrier free. Suitable for ICC/IF, WB, IHC-P and reacts with Human samples.
Specifications
Shipped At Conditions Blue Ice
Appropriate Long term Storage Conditions Store at +4°C.
Clonality Monoclonal
Applications Flow Cyt, ICC/IF, IHC-P, WB
Species Reactivity Human
Isotype IgG