JavaScript is disabled in your browser. Please enable JavaScript to view this website.

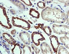
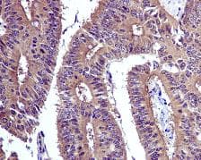
Anti-SODD antibody [EPR3597] - BSA and Azide free(ab248659)

$undefined

Anti-SODD antibody [EPR3597] - BSA and Azide free(ab248659)

Anti-SODD antibody [EPR3597] - BSA and Azide free(ab248659)

Anti-SODD antibody [EPR3597] - BSA and Azide free(ab248659)

Rabbit Recombinant Monoclonal SODD antibody. Carrier free. Suitable for IHC-P, WB and reacts with Human samples.
Specifications
Shipped At Conditions Blue Ice
Appropriate Long term Storage Conditions Store at +4°C.
Clonality Monoclonal
Applications Flow Cyt, IHC-P, IP, WB
Species Reactivity Human
Isotype IgG