JavaScript is disabled in your browser. Please enable JavaScript to view this website.

Anti-Syntaxin 3 antibody [EPR8543] - BSA and Azide free(ab248638)

$undefined

Anti-Syntaxin 3 antibody [EPR8543] - BSA and Azide free(ab248638)

Anti-Syntaxin 3 antibody [EPR8543] - BSA and Azide free(ab248638)

Anti-Syntaxin 3 antibody [EPR8543] - BSA and Azide free(ab248638)

Anti-Syntaxin 3 antibody [EPR8543] - BSA and Azide free(ab248638)

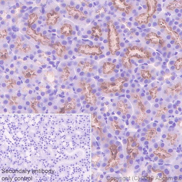
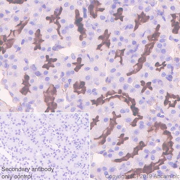
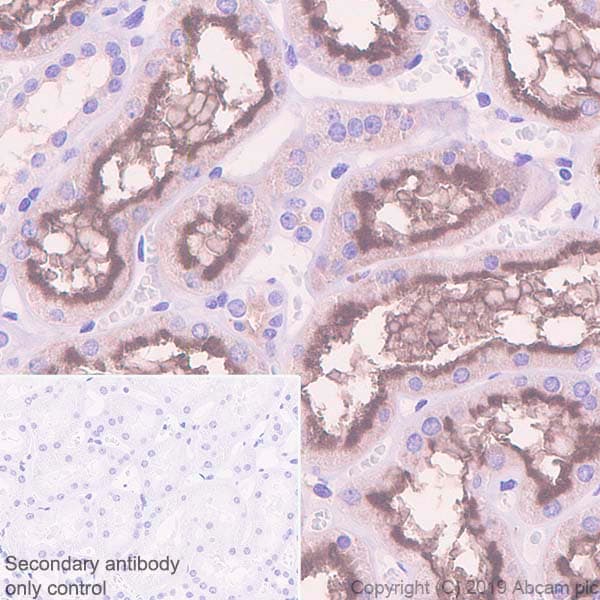
Rabbit Recombinant Monoclonal Syntaxin 3 antibody. Carrier free. Suitable for IHC-P, WB, ICC/IF and reacts with Mouse, Rat, Human samples.
Specifications
Shipped At Conditions Blue Ice
Appropriate Long term Storage Conditions Store at +4°C.
Clonality Monoclonal
Applications Flow Cyt, ICC/IF, IHC-P, IP, WB
Species Reactivity Human, Mouse, Rat
Isotype IgG