JavaScript is disabled in your browser. Please enable JavaScript to view this website.

Anti-CLP1 antibody [EPR7180(2)] - BSA and Azide free(ab248605)

$undefined

Anti-CLP1 antibody [EPR7180(2)] - BSA and Azide free(ab248605)

Anti-CLP1 antibody [EPR7180(2)] - BSA and Azide free(ab248605)

Anti-CLP1 antibody [EPR7180(2)] - BSA and Azide free(ab248605)

Anti-CLP1 antibody [EPR7180(2)] - BSA and Azide free(ab248605)

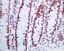
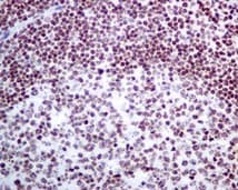
Rabbit Recombinant Monoclonal CLP1 antibody. Carrier free. Suitable for IHC-P, WB and reacts with Human samples.
Specifications
Shipped At Conditions Blue Ice
Appropriate Long term Storage Conditions Store at +4°C.
Clonality Monoclonal
Applications Flow Cyt (Intra), IHC-P, IP, WB
Species Reactivity Human
Isotype IgG