JavaScript is disabled in your browser. Please enable JavaScript to view this website.

Anti-CCT2 antibody [EPR4084] - BSA and Azide free(ab247598)

$undefined

Anti-CCT2 antibody [EPR4084] - BSA and Azide free(ab247598)

Anti-CCT2 antibody [EPR4084] - BSA and Azide free(ab247598)

Anti-CCT2 antibody [EPR4084] - BSA and Azide free(ab247598)

Anti-CCT2 antibody [EPR4084] - BSA and Azide free(ab247598)

Anti-CCT2 antibody [EPR4084] - BSA and Azide free(ab247598)

Anti-CCT2 antibody [EPR4084] - BSA and Azide free(ab247598)

Anti-CCT2 antibody [EPR4084] - BSA and Azide free(ab247598)

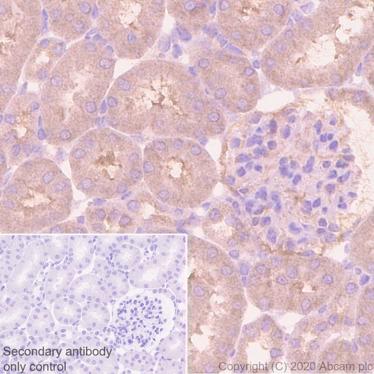
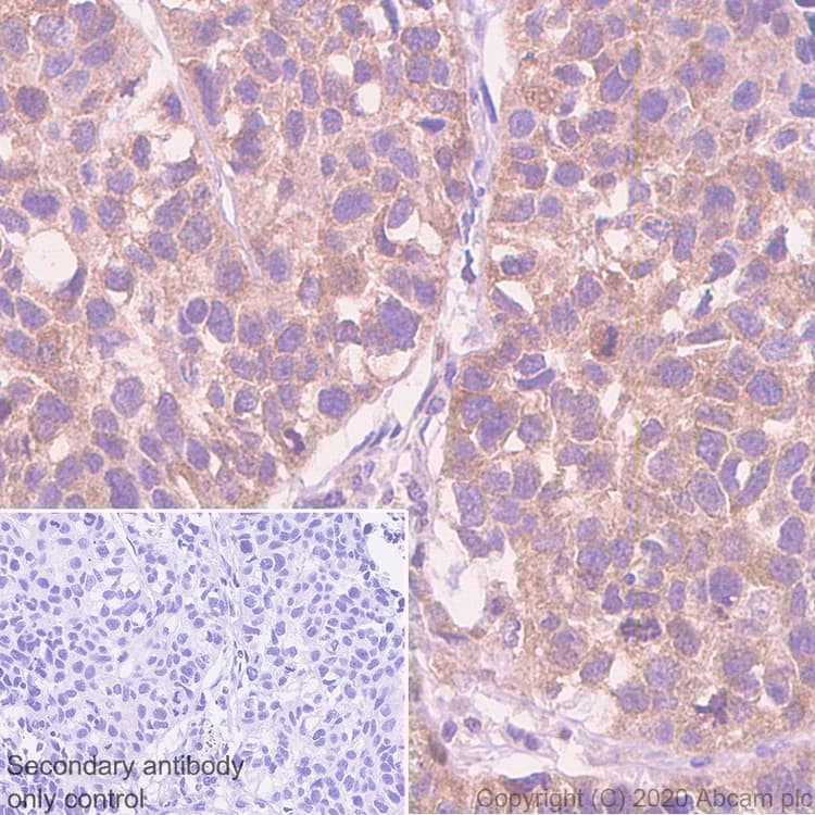
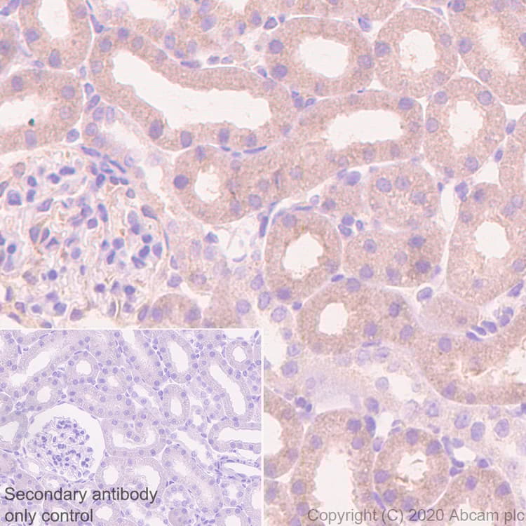
Rabbit Recombinant Monoclonal CCT2 antibody. Carrier free. Suitable for IHC-P, IP, WB, ICC/IF, Flow Cyt (Intra) and reacts with Rat, Mouse, Human samples.
Specifications
Shipped At Conditions Blue Ice
Appropriate Long term Storage Conditions Store at +4°C.
Clonality Monoclonal
Applications Flow Cyt (Intra), ICC/IF, IHC-P, IP, WB
Species Reactivity Human, Mouse, Rat
Isotype IgG