JavaScript is disabled in your browser. Please enable JavaScript to view this website.

Anti-PCNA antibody [EPR3822] - BSA and Azide free(ab247595)

$undefined

Anti-PCNA antibody [EPR3822] - BSA and Azide free(ab247595)

Anti-PCNA antibody [EPR3822] - BSA and Azide free(ab247595)

Anti-PCNA antibody [EPR3822] - BSA and Azide free(ab247595)

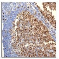
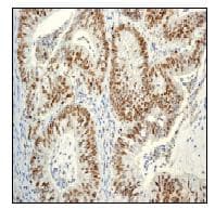
Rabbit Recombinant Monoclonal PCNA antibody. Carrier free. Suitable for IHC-P, WB and reacts with Human samples.
Specifications
Shipped At Conditions Blue Ice
Appropriate Long term Storage Conditions Store at +4°C.
Clonality Monoclonal
Applications ICC/IF, IHC-P, IP, WB
Species Reactivity Human
Isotype IgG