JavaScript is disabled in your browser. Please enable JavaScript to view this website.

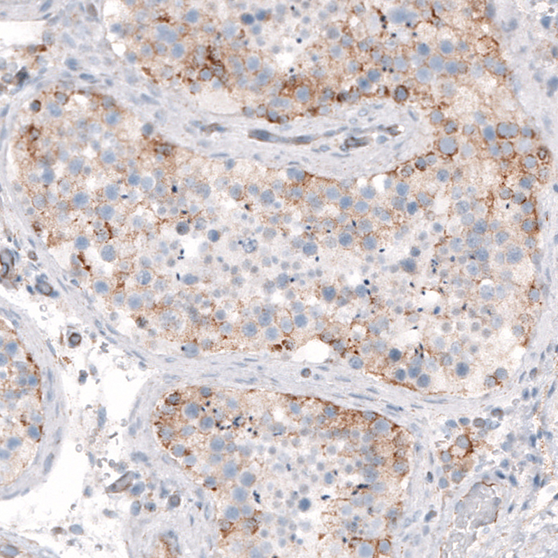
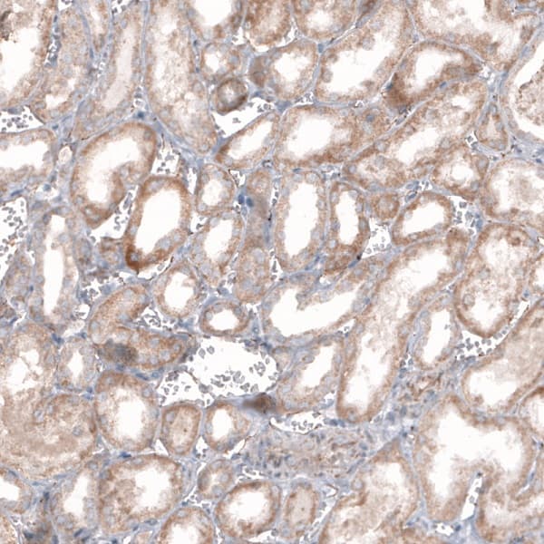
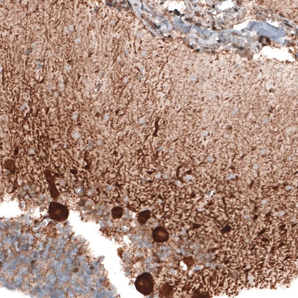
Anti-STAU2 antibody(ab246918)

$undefined

Anti-STAU2 antibody(ab246918)

Anti-STAU2 antibody(ab246918)

Anti-STAU2 antibody(ab246918)

Anti-STAU2 antibody(ab246918)

Anti-STAU2 antibody(ab246918)

Rabbit Polyclonal STAU2 antibody. Suitable for IHC-P, WB and reacts with Human, Mouse, Rat samples. Immunogen corresponding to Recombinant Fragment Protein within Human STAU2 aa 1-150.
Specifications
Shipped At Conditions Blue Ice
Appropriate Long term Storage Conditions Store at -20°C.
Clonality Polyclonal
Applications IHC-P, WB
Species Reactivity Human, Mouse, Rat
Isotype IgG