JavaScript is disabled in your browser. Please enable JavaScript to view this website.

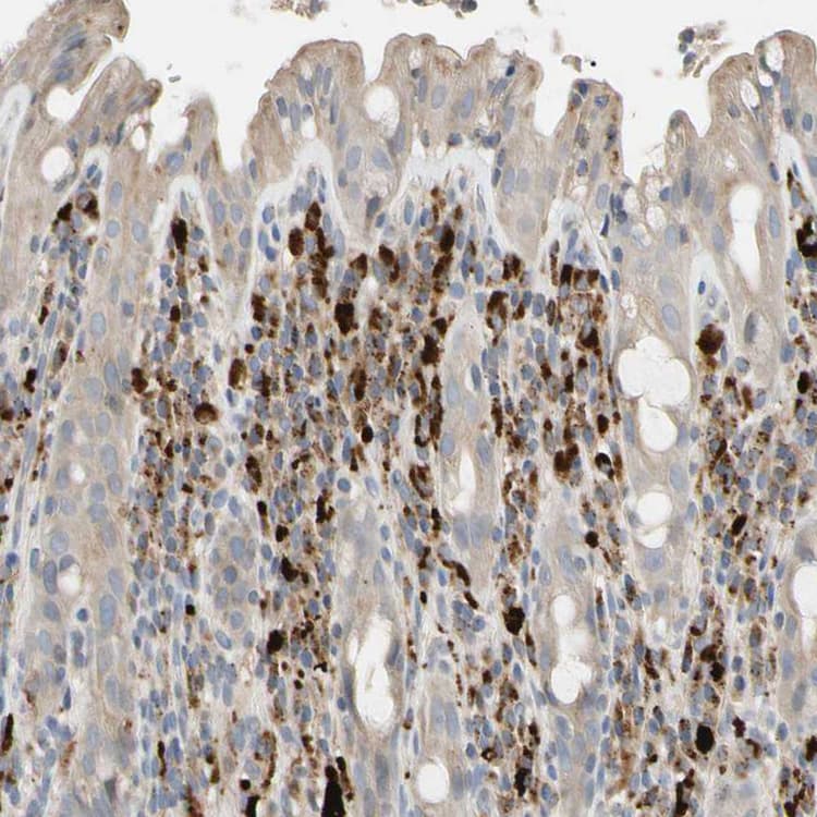
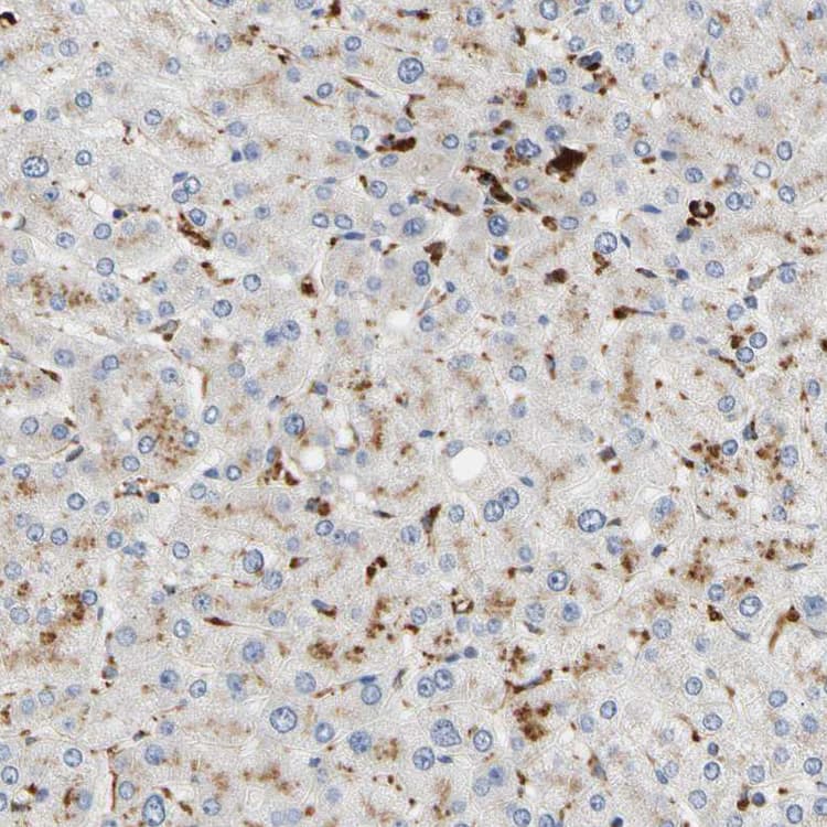
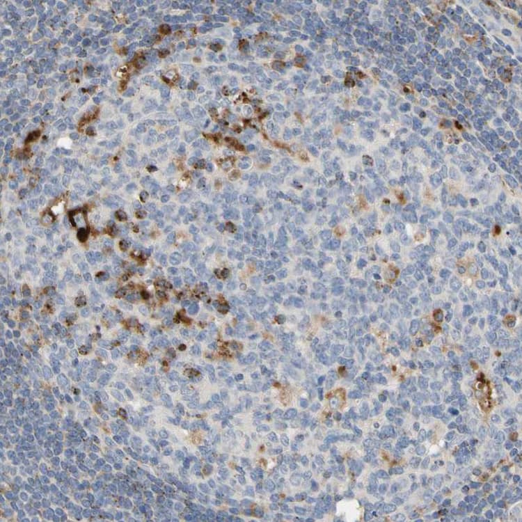
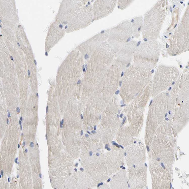
Anti-CECR1 antibody(ab246886)

$undefined

Anti-CECR1 antibody(ab246886)

Anti-CECR1 antibody(ab246886)

Anti-CECR1 antibody(ab246886)

Anti-CECR1 antibody(ab246886)

Anti-CECR1 antibody(ab246886)

Rabbit Polyclonal CECR1 antibody. Suitable for IHC-P, WB and reacts with Human samples. Immunogen corresponding to Recombinant Fragment Protein within Human ADA2 aa 350 to C-terminus.
Specifications
Shipped At Conditions Blue Ice
Appropriate Long term Storage Conditions Store at -20°C.
Clonality Polyclonal
Applications IHC-P, WB
Species Reactivity Human
Isotype IgG