JavaScript is disabled in your browser. Please enable JavaScript to view this website.

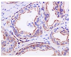
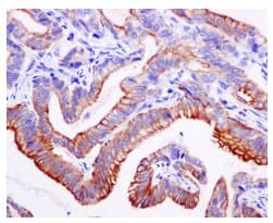
Anti-Moesin (phospho T558) antibody [EPR2371(2)] - BSA and Azide free(ab246834)

$undefined

Anti-Moesin (phospho T558) antibody [EPR2371(2)] - BSA and Azide free(ab246834)

Anti-Moesin (phospho T558) antibody [EPR2371(2)] - BSA and Azide free(ab246834)

Anti-Moesin (phospho T558) antibody [EPR2371(2)] - BSA and Azide free(ab246834)

Rabbit Recombinant Monoclonal Moesin phospho T558 antibody. Carrier free. Suitable for IHC-P, WB and reacts with Human samples.
Specifications
Shipped At Conditions Blue Ice
Appropriate Long term Storage Conditions Store at +4°C.
Clonality Monoclonal
Applications Flow Cyt, ICC/IF, IHC-P, IP, WB
Species Reactivity Human
Isotype IgG